天然脂肪阻斷劑-金針菇提取物
隨著生活質量的提高,人們往往把精神享受放在飲食上。導致很多人的飲食習慣是不健康的,根據中國膳食指南(2022)數據顯示,我國過半數成年人面臨著超重或肥胖的困擾。不僅會影響人們的整體形象,更重要的是會引起一系列慢性疾病。這致使人們紛紛把目光瞄準了如何通過健康食品進行體重管理。此市場的高勢能人群主要以健身人群為主,大多數為都市白領,對個人身體狀態有一定的要求,并且愿意為自己的身體做出消費。

對此,中大恒源瞄準體重管理市場推出了金針菇提取物,該提取物有著降脂的功效,可作為食品原料添加到食品中,金針菇子實體膳食纖維不能被人體內的酶分解和消化道吸收,但是能夠與膽固醇、膽酸結合,減少人體肝臟中得膽酸堆積,促進膽固醇代謝為膽酸,降低人體小腸中膽固醇含量,干擾小腸對脂質的吸收。為了進一步分析金針菇多糖干預引起的小鼠機制相關代謝產物及代謝途經的變化規律,闡明金針菇多糖的脂代謝調節作用機制,中大恒源研發團隊與研究所合作實驗論證金針菇提取物的有效性。
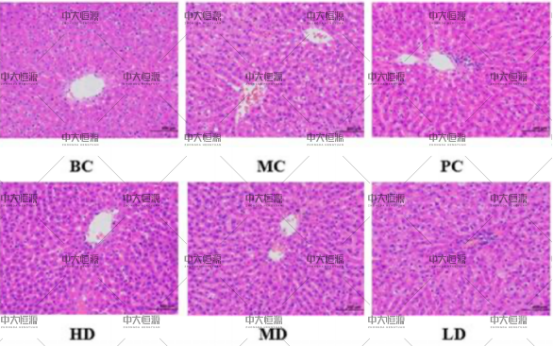
大鼠肝臟組織病理學觀察:

△ 空白對照(NC) 組、模型對照(MC) 組、陽性對照(PC) 組、高劑量(HD)組、中劑量(MD) 組、低劑量(LD) 組
大鼠肝臟組織病理學觀察實驗可以得出脂肪肝在病理狀態下,會對肝臟造成一定的損傷,在高脂飲食環境下,金針菇子實體膳食纖維可以通過降低肝臟中的脂肪含量來對肝功能起到保護作用,有助于改善攝入高脂肪食物而帶來的損傷。
大鼠脂肪組織病理學觀察:

△ 空白對照(NC) 組、模型對照(MC) 組、陽性對照(PC) 組、高劑量(HD)組、中劑量(MD) 組、低劑量(LD) 組
而大鼠脂肪組織病理學觀察得出金針菇子實體膳食纖維可以通過減小大鼠的脂肪細胞大小來降低肥胖,防止脂肪在脂肪細胞中的積累可能是抑制肥胖發生的重要機制。
震蕩實驗:

為了讓人們更直觀的看到金針菇提取物的功效性,研發團隊通過震蕩實驗來模擬胃酸環境。人們都知道油脂是具有聚集性的,進食高油脂的食物后油脂會附著在腸壁上,無法輕易排出,被腸道吸收后,就會造成脂肪堆積,長時間就會引起肥胖。實驗表明金針菇提取物在實驗過程中,油脂不會發生聚集。如上圖所示金針菇中所含的植物殼聚糖、β-葡聚糖、纖維素等成分會像一張“超級彈性網”, 遇見油脂就會把它包裹起來,形成顆粒狀的油珠,讓油脂不被身體吸引,愉快的排出體外。
通過一系列實驗論證金針菇提取物具有減脂功效,能夠抑制飲食中的脂肪被吸收。中大恒源研發團隊會繼續致力于體重管理、健康飲食方向的研究,為市場帶來更多、更好的產品應用解決方案。